当院では、薬剤に厚生労働省が認可した
ホワイトニング剤を使用しているためしっかり内部から白く長続きします!
低刺激で高いホワイトニング効果
「可視光応答型光触媒V-CAT®(TiO2-xNx)」の応用により、過酸化水素濃度が約23%と比較的低濃度でありながら、高いホワイトニング効果を実現!
安全な光波長域で反応
二酸化チタンの酸素の一部が 窒素に置換されることで、可視光線域の光にも充分反応するため、歯科用照射器を用いたオフィスホワイトニングへの応用が可能!
安全に使えるシステム
歯肉保護レジンにより、
ホワイトニングジェルの歯肉への付着を防ぎます。
医療ホワイトニングは、歯科医師または有資格者のみが扱える薬剤を使って、より高い効果が期待できる施術です。
歯を削らず、自然な白さへと導きます。安全性と即効性を両立した、医療機関ならではのホワイトニングです。
ですが、、、歯やはぐきにしみる、食事制限などのご不安はあると思います。
当院では、治療前の説明をじっくり丁寧に行い、 患者様の不安を解消してから治療を開始します。
納得いくまで丁寧に説明します。何でも聞いてくださいね!
ご不安や分からないことなど気軽に相談できる無料カウンセリングを実施しています。
この機会にぜひ何でもお気軽にご相談ください。
エステ型のホワイトニングでは満足できない
しっかりとした歯科医院でホワイトニングしたい
などをお考えであればぜひご相談ください。
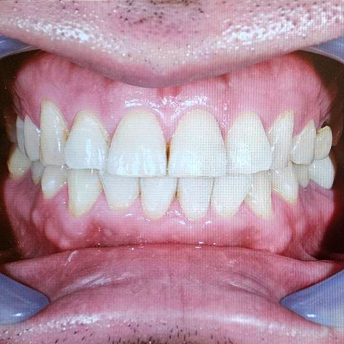
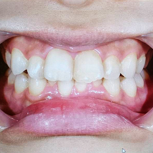
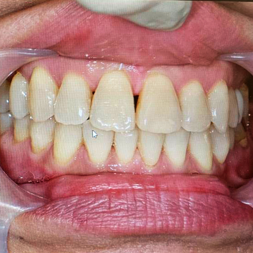
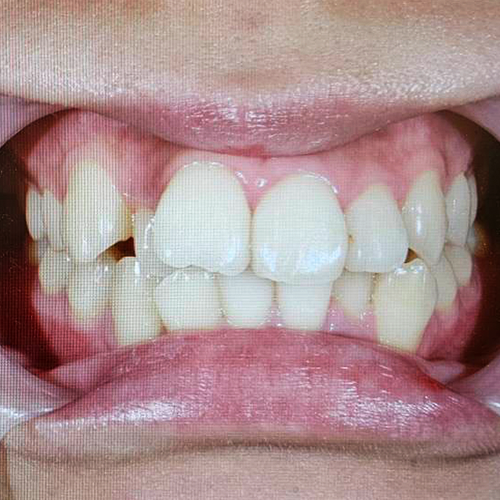
個人差はありますが、平均3回程度でD2の白さまで目指すことができます
歯科医療機関で
歯科医師・
歯科衛生士が
医療機器製品を
用いて
歯の内部まで白くするホワイトニングを行います!
虫歯・歯周病予防も同時に治療
ホワイトニング前に、
虫歯や歯周病のリスクをチェックし、
必要に応じて治療を行うことで、
健康な状態でホワイトニングが可能です。
審美性も考慮した美しい仕上がり
ホワイトニングだけでなく、
歯並びや詰め物の状態など、
総合的な審美性を考慮した
美しい仕上がりを目指します。
歯の構造・状態に合わせた施術
総合的な歯科知識を持つ歯科医師が、
歯の構造や状態を考慮し、
歯に負担の少ないホワイトニング方法を
選択します。
アフターケアも充実
ホワイトニング後のケアや、
定期的なメンテナンスなど、
総合的なサポート体制で、
白く美しい歯を長く維持できます。
多忙なあなたにも嬉しい、年中無休・夜20時まで診療
「仕事や家事で忙しくて、なかなか歯医者に通えない…」そんな方もご安心ください。
横浜西ホネスティ歯科医院は、年中無休で夜20時まで診療を行っています。
忙しい毎日でも、あなたのライフスタイルに合わせて、無理なくホワイトニングを続けることができます。
横浜西ホネスティ歯科医院は
福岡県を中心に24医院を
展開する歯科医院です!
横浜西ホネスティ歯科医院で理想の白さを手に入れてください!
最新のホワイトニング技術で、あなたの笑顔をより輝かせます。
歯科医院でプロが施術するホワイトニングです。
オフィスホワイトニングは、専用の薬剤とライトを
使って歯科医院で行うホワイトニングです。
一度の施術で白さの実感が期待できます。
自宅で出来るお手軽ホワイトニングです。歯科医院で専用のマウスピース(カスタムトレー)を使って自宅でホワイトニングする方法です。
忙しく、なかなかクリニックに通えないOLやサラリーマンに人気です。 医院でのオフィスホワイトニングの効果を持続したい方にもオススメです。
オフィスホワイトニングとホームホワイトニングを並行して行うホワイトニングです。
両方のメリットを組み合わせた理想的なホワイトニングで、スピーディーに白い歯を目指せます。
色ムラになりにくく仕上がりがきれいで、
色戻りがしにくいのが特徴です。
横浜西ホネスティ歯科医院は
総合歯科医院として、
お口の状態やライフスタイルに合わせたご提案を行います。
まずは無料カウンセリングでぜひご相談ください。
最新のホワイトニング技術で、あなたの笑顔をより輝かせます。
総合歯科医院では、ホワイトニングだけでなく、虫歯や歯周病など、
お口全体の健康状態を総合的に診断できます。
ホワイトニング前に、虫歯や歯周病の治療が必要な場合は、適切な治療を優先することで、より安全で効果的なホワイトニングが可能です。
また、ホワイトニング後も、定期的なメンテナンスを通じて、お口全体の健康を維持できます。
当院の母体となる医療法人宝歯会は、28年前(1992年)に北九州市若松区に開院致しました。
17年前より分院展開、事業の多角化を始め、
歯科医療・介護・保育等の事業を行うグループです。
現在は、福岡県を中心に山口、広島、岡山、兵庫に事業を展開しています。
医療スタッフが歯科治療に専念できるような環境を整えることで、医療スタッフは自身の専門スキルを活かしたパフォーマンスを発揮でき、それが患者様により良い医療の提供につながると考えています。
専門性の高い歯科医療を、地域の皆様へ届けるため、 一般歯科、小児歯科、訪問歯科、インプラント、そしてホワイトニング。 それぞれの分野で豊富な経験を持つ医師が、患者様一人ひとりに 最適な治療を提供いたします。
また当院は、各分野の専門医が連携し、質の高い歯科医療を 提供しています。 小児歯科、訪問歯科にも力を入れており、ご家族皆様の口腔内の健康を トータルでサポートしています。
最新のホワイトニング機器は、従来の機器に比べ、歯へのダメージを最小限に抑えながら、高いホワイトニング効果を発揮します。個人差はありますが、1回の施術でも効果を実感いただけます。
多数歯を一度に効率よく照射できるホワイトニングライトです。既存のオフィスホワイトニングでは光照射器の光源に、ハロゲンやメタルハライドなどを使用。
コスモブルーは高輝度LEDを光源とすることで、照射する光をホワイトニングに必要な波長に絞り、より効果的なオフィスホワイトニングを実現!
光源にはLEDを採用し発熱が少なく、患者さんにやさしいホワイトニングを実現します。
本体は、フレキシブルに可動するヘッドとバランスアームの採用により、患者さんの口腔への位置付けが正確かつ簡単に行えます。
当院では患者様が負担なく治療に来院できるように、 診療室は患者様のプライバシーを重視した個室になっておりますので、 人の目が気になるという方も安心してご来院いただけます。
車椅子の方や高齢の方も安心して通えるように、
院内をバリアフリー化しております。
どなたでも安心して通える歯科医院です。
親御さんが安心して治療を受けられるように、
子供向けのプレイスペースを用意しております。
お子様連れでも安心してご来院ください。
12分 : 2セット or 3セット
※セット数は医師が白さの効果により判断します治療費のお支払いは、現金、クレジットカードからお選びください。
お困りのことや質問などは、お気軽に当院までご連絡ください。
最新のホワイトニング技術で、あなたの笑顔をより輝かせます。
初回カウンセリング検査
お口の状態を詳しく検査し、現在の歯の色を確認します。
ホワイトニングに関するご要望や不安点をお聞きし、最適な治療計画をご提案します。
むし歯や歯周病がある場合は、先にそれらの治療を行います。
治療計画の決定
オフィスホワイトニング、ホームホワイトニング、または両方を組み合わせたプランなど、
ライフスタイルや目標に合わせた最適な治療計画を決定します。
費用や治療期間についても詳しくご説明します。
ホワイトニング施術
歯肉を保護した後、特殊なホワイトニングジェルを塗布し、
専用の光を当てて活性化させます。約60〜90分の施術で即日効果を実感できます。
お口に合わせたマウスピースを作製し、使用方法をご説明します。
ご自宅で1日1〜2時間、約2週間続けていただきます。
アフターケアメンテナンス
治療後の注意点や効果を長持ちさせるためのケア方法をご説明します。
定期的なメンテナンスで白さを維持し、
必要に応じて追加のホワイトニングをご提案します。
こんにちは。
横浜市西区にある横浜西ホネスティ歯科医院 院長の山田祐司と申します。
2023年12月の開院以来、幅広い年齢の方々を診させていただいております。
診療室は患者様のプライバシーを重視した個室になっておりますので、人の目が気になるという方も安心してご来院いただけます。
歯の治療と同時に、心も癒せる空間で皆様をお待ちしております。
ホワイトニングの効果はどのくらい続きますか?
効果の持続期間は個人差がありますが、一般的にオフィスホワイトニングの場合は3〜6ヶ月、ホームホワイトニングの場合は6ヶ月〜1年程度持続します。
日常的なケアや定期的なメンテナンスを行うことで、より長く効果を維持することができます。
コーヒーやワイン、タバコなどの着色しやすい飲食物や嗜好品を控えることも効果の持続に役立ちます。
ホワイトニング中や後に痛みはありますか?
施術中や施術後に一時的な知覚過敏(しみる感じ)を感じる方もいらっしゃいますが、多くの場合は数日で自然に改善します。 当院では知覚過敏を最小限に抑える薬剤や技術を使用しており、万が一症状が出た場合も適切なケア方法をご案内します。 心配な方は事前にご相談ください。
施術にはどのくらい時間がかかりますか?
オフィスホワイトニングは、カウンセリングを含めて約90分〜120分程度です。
ホームホワイトニングの場合は、初回のマウスピース作製とご説明に約60分、その後は自宅で1日1〜2時間を2週間程度続けていただきます。
お時間に制約のある方には、ライフスタイルに合わせた最適なプランをご提案いたします。
どのくらい白くなりますか?
個人の歯の状態や原因によって効果には差がありますが、一般的に2〜8段階程度白くなります。
もともとの歯の色や着色の原因、生活習慣などによって効果は異なりますので、 カウンセリング時に詳しくご説明し、現実的な目標を設定させていただきます。
歯に悪影響はありませんか?
当院で使用しているホワイトニング剤は歯の構造を損なわない安全なものです。
適切な濃度と時間で行えば、エナメル質にダメージを与えることなく安全に白くすることができます。
ただし、むし歯や歯周病がある場合は、先にそれらの治療を行う必要があります。